6181140396715

6181140396715
Clone Number: T311
Isotype: Mouse monoclonal antibody IgG2a
Cellular Localization: Cytoplasm
Suitable Tissue: Paraffin/Frozen
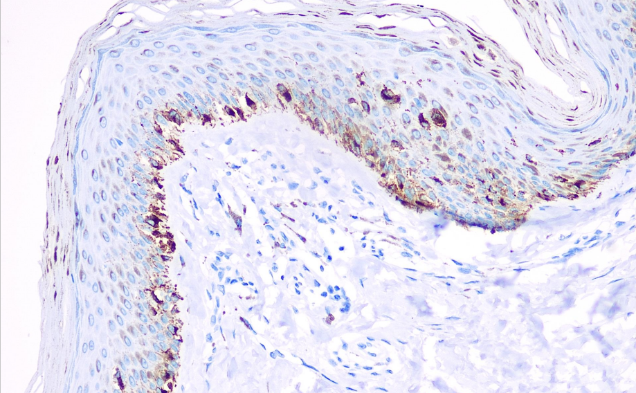
Positive Control: Skin
Antibody Incubation Time: 30-60 min
Antigen Retrieval: Heat retrieval (EDTA)
Tyrosinase, also known as mono-phenol mono-oxidase, catalyzes the oxidation of phenolic compounds (such as tyrosine) and is widely distributed in both plants and animals. Tyrosinase plays a catalytic role in the synthesis of melanin and other pigments and is present in melanosomes. Mutations in its gene can lead to Type I oculocutaneous albinism (incidence rate of 1 in 17,000). This antibody is specifically expressed in melanin-containing pathological tissues, such as malignant melanoma and neurofibromas associated with melanin lesions. It is not expressed in epithelial-derived cancers.
Tyrosinase antibody reagents can specifically bind to tyrosinase molecular antigens. Immunohistochemistry kits containing tyrosinase antibody reagents are suitable for the precise diagnosis of melanoma.