5511045352638

5511045352638
Clone number: BC21
isotype: mouse monoclonal antibody
Cellular localization: cytoplasm/membrane
Applicable tissues: paraffin/frozen
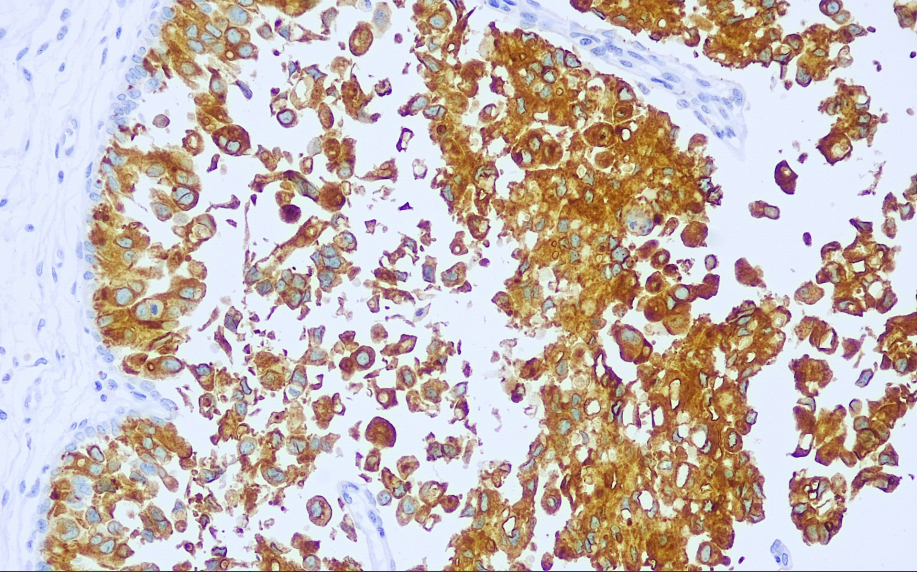
Positive control: Urothelial carcinoma
Antibody incubation time: 30-60min
Antigen repair: Thermal repair (Tris-EDTA)
Roplakins (UPs) are a family of transmembrane proteins involved in the differentiation of bladder epithelial cells, comprising four types: Ia, Ib, II, and III. In non-tumorous urinary tract epithelium, they are expressed in the luminal surface of the superficial layer in the form of 16-nm particles. Studies have shown that these four glycoproteins are exclusively present in urothelial transitional epithelium and are virtually absent in other tissues. The expression of uroplakins in bladder transitional cell carcinoma is correlated with the degree of differentiation of bladder cancer, with higher expression levels observed in more differentiated tumors. Uroplakin II, as a highly specific antibody, is highly useful in the differential diagnosis of tumors of urothelial origin.
Uroplakin II antibody reagents can specifically bind to the Uroplakin II molecular antigen. Immunohistochemistry kits containing Uroplakin II antibody reagents are suitable for the auxiliary diagnosis of tumors originating from the urinary tract epithelium.