561988330649

561988330649
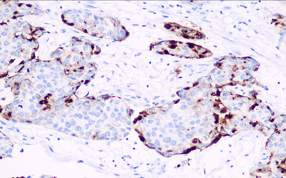
Clone number: EP321
isotype: rabbit monoclonal antibody
Cellular localization: cytoplasm/membrane
reactivity: paraffin/frozen
Positive control: bladder/translocated cell carcinoma
Antibody incubation time: 30-60min
Antigen repair: Heat repair (EDTA)
Uroplakins (UPs) are members of a family of transmembrane proteins involved in the differentiation of bladder epithelial cells. Uroplakin III is expressed in both primary and invasive bladder epithelial carcinomas but is not expressed in many non-urinary tract epithelial tumors, thereby aiding in the study of bladder epithelial carcinomas. The Uroplakin III gene is lost in normal urinary tract epithelium and after malignant metastasis in bladder cancer, and may manifest as urinary tract epithelial tumors with malignant potential, serving as a reference for cellular differentiation in urinary tract epithelial cells. Patients with Uroplakin III-positive bladder epithelial carcinoma have a higher relative survival rate.
Uroplakin III antibody reagents can specifically bind to the Uroplakin III molecular antigen. Immunohistochemistry kits containing Uroplakin III antibody reagents are suitable for the auxiliary diagnosis of bladder epithelial carcinoma.