5991121363693

5991121363693
Clone Number: VG1
Type: Mouse monoclonal antibody IgG/K
Cellular Localization: Cytoplasm
Suitable Tissue: Paraffin/Frozen
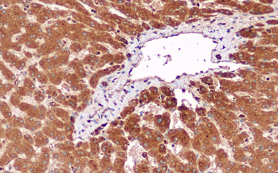
Positive Control: Liver
Antibody Incubation Time: 30-60 min
Antigen Retrieval: Heat retrieval (EDTA)
VEGF is a protein with a molecular weight of 34–50 kDa, synthesized by tumor cells, vascular endothelial cells, and macrophages. It acts specifically on receptors on vascular endothelial cells through autocrine/paracrine mechanisms, promoting endothelial cell growth, proliferation, migration, extracellular matrix degradation, and the formation of vascular tubular structures. Among numerous vascular regenerative factors, VEGF and its receptors are recognized as key mediators of angiogenesis, strongly promoting endothelial mitosis and the formation of new blood vessels. It is a potent cytokine stimulating tumor angiogenesis. This antibody recognizes VEGF and is primarily used for studying the relationship between angiogenesis and tumor metastasis in various tumor tissues.
VEGF antibody reagents can specifically bind to VEGF molecular antigens. Immunohistochemistry kits containing VEGF antibody reagents are suitable for assessing tumor angiogenesis (such as colorectal cancer and renal cancer) and predicting the efficacy of anti-VEGF targeted therapy (such as bevacizumab).