6361092385737

6361092385737
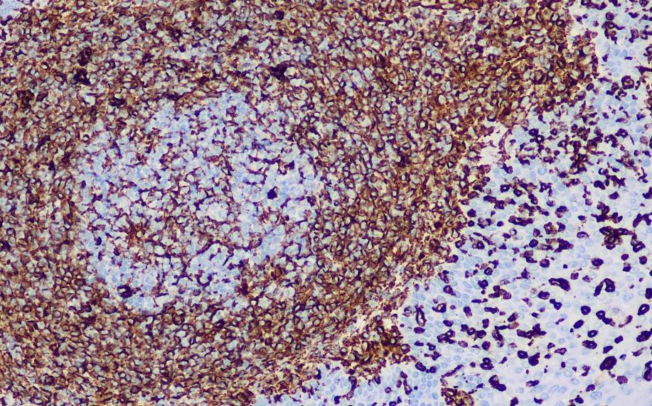
Clone number: EP21
isotype: rabbit monoclonal antibody
Cellular localization: cytoplasm
Tissue: paraffin/frozen
Positive control: tonsils
Antibody incubation time: 30-60min
Antigen repair: Heat repair (EDTA)
Wave protein is a common member of the intermediate filament protein family and a major component of the cellular cytoskeletal structure. It is expressed in the development and differentiation of various mesenchymal cells and cell types derived from the mesoderm. Wave protein plays a role in maintaining cellular integrity and cytoskeletal stability. Similar to all intermediate filament proteins, the reorganization of vimentin occurs at the same stage of the cell cycle and cellular signaling pathways through site-specific phosphorylation (serine or threonine residues). In particular, phosphorylation at Ser25, Ser38, Ser50, Ser65, and Ser72 by p21-activated kinase (PAK) induces vimentin-specific reorganization. During cytokinesis, p53 is regulated by Rho kinase (ROCK) and Aurora B through phosphorylation at Ser38 and Ser72. p53 serves as a relatively specific reference marker for mesenchymal cells and their derived tumors.
Vimentin antibody reagents can specifically bind to Vimentin molecular antigens. Immunohistochemistry kits containing Vimentin antibody reagents are suitable for the auxiliary diagnosis of tumors originating from mesenchymal tissues (such as sarcomas, carcinosarcomas, and melanomas).