128223277591485

128223277591485
Clone number:
Isotype:
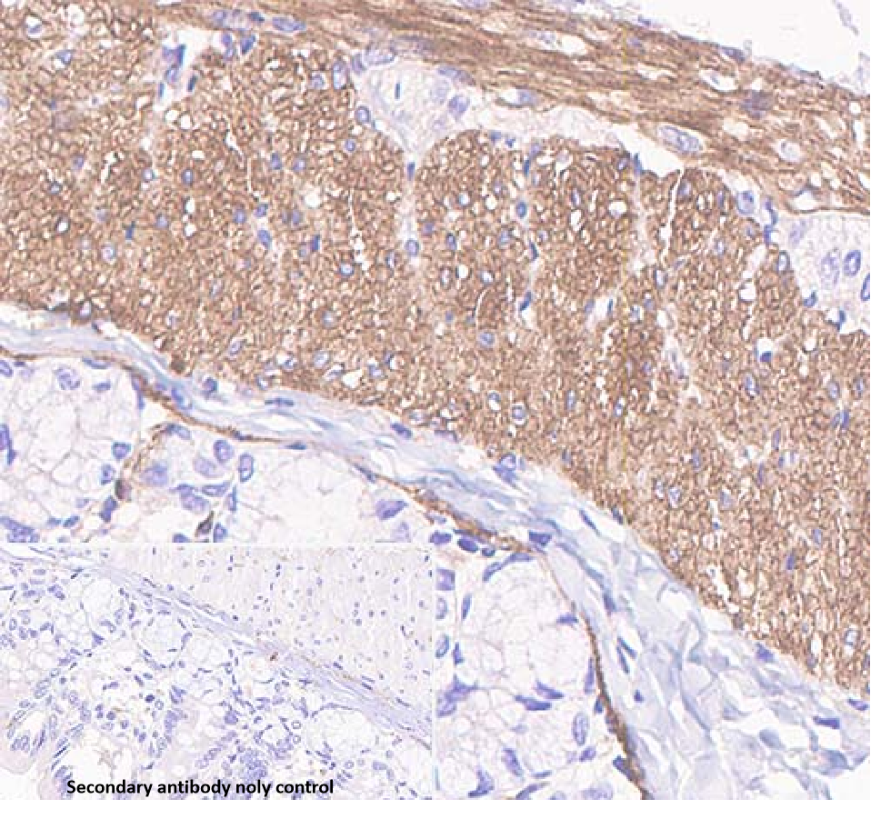
Cell localization: Cytoplasm
Suitable tissue: Paraffin/frozen
Positive control: Heart/uterine fibroid
Antibody incubation time:
Antigen retrieval: Heat retrieval (citrate)
Vinculin is a membrane cytoskeletal protein and a component of the focal adhesion complex, involved in the connection of integrin adhesion molecules to the actin cytoskeleton. The absence of vinculin affects a range of cellular functions, including disrupting the formation of the vinculin complex and inhibiting cell adhesion and spreading. The absence of vinculin reduces cell spreading, thereby decreasing stress fiber and focal adhesion formation, and inhibiting the extension of lamellar pseudopodia.
Vinculin antibody reagents can specifically bind to Vinculin molecular antigens. Immunohistochemistry kits containing Vinculin antibody reagents are suitable for the auxiliary diagnosis of diseases related to cell adhesion and migration.