428817264495

428817264495
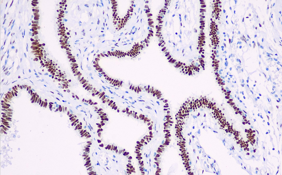
Clone number: EP122
isotype: rabbit monoclonal antibody
Cellular localization: nucleus
Tissue: paraffin/frozen
Positive control: Fallopian tube
Antibody incubation time: 30-60min
Antigen repair: Heat repair (EDTA)
WT1 is a tumor suppressor gene located on chromosome 11p13 that can identify mesothelial cell proliferation, malignant mesothelioma, ovarian cystadenocarcinoma, gonadal teratoma, nephroblastoma, and connective tissue proliferative small round cell tumors. It can be used to study small round cell tumors and Ewing's sarcoma that promote connective tissue proliferation, as well as primitive neuroectodermal tumors.
WT1 antibody reagents can specifically bind to WT1 molecular antigens. Immunohistochemistry kits containing WT1 antibody reagents are suitable for the precise diagnosis of mesothelial cell hyperplasia, malignant mesothelioma, ovarian cystadenocarcinoma, gonadal germ cell tumors, Wilms' tumor, and connective tissue proliferative small round cell tumors.