128223277591485

128223277591485
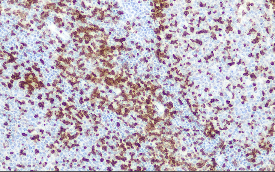
Clone number: 2F3.2
Type: Mouse monoclonal antibody IgG
Cell localization: Cell nucleus/cytoplasm
Suitable tissue: Paraffin/frozen
Positive control: Tonsil
Antibody incubation time: 30-60 min
Antigen retrieval: Heat retrieval (EDTA)
This antigen is a tyrosine protein kinase expressed in T cells and NK cells, and is involved in the activation of T cell receptors. Mutations in this gene cause severe combined immunodeficiency syndrome (SCID) in humans. This antigen is also associated with Ig heavy chain gene mutation status, disease progression, and patient prognosis in patients with chronic lymphocytic leukemia (CLL). Therefore, this antibody can be used in studies of CLL prognosis.
The ZAP-70 antibody reagent specifically binds to the ZAP-70 molecular antigen. The immunohistochemistry kit containing the ZAP-70 antibody reagent is suitable for prognostic stratification of chronic lymphocytic leukemia (CLL).