1615304010451870

1615304010451870
Clone number: polyclonal
Isotype: Rabbit Polyclonal Antibodies
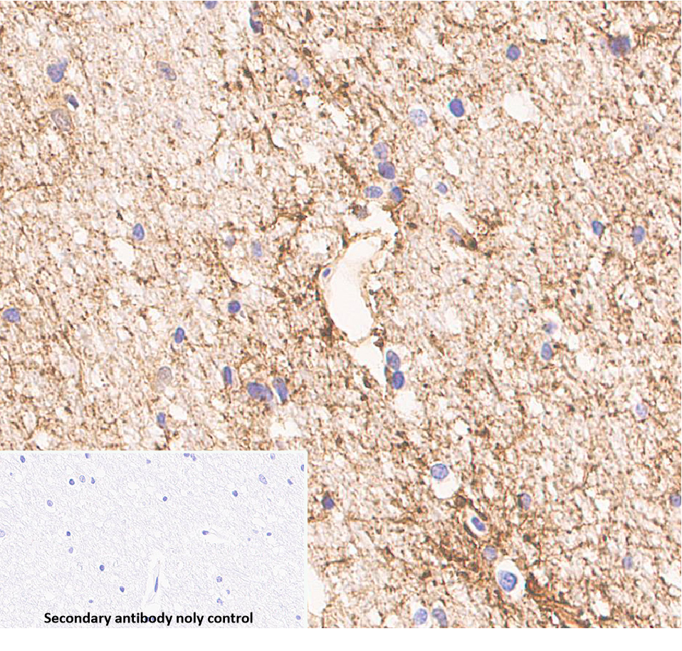
Cellular Localization: cell membrane
Adaptive tissue: paraffin section
Positive Control:
Antibody Incubation Time:
Antigen Repair:
The AQP4 gene consists of four exons and three introns and is located at the junction between chromosomes 18q11.2 and 18q12.1. AQP4 is most abundant and widely distributed in the brain, mainly in the supporting cells of neural tissues, such as astrocytes, glial border membranes, ventricular membranes, etc. It is related to the transport of water molecules in brain cells. The cell membrane of astrocytes around capillaries is the most important area of expression, while it is less distributed on the side close to the neural felt. This polar distribution is favorable for water molecule transport between glial cells, blood and cerebrospinal fluid, and plays an important role in the regulation of water molecule metabolic balance and cerebrospinal fluid production in the brain.
AQP4 Antibody Reagent binds specifically to the AQP4 molecular antigen. Immunohistochemistry kits containing AQP4 Antibody Reagent are suitable for the precise diagnosis of optic neuromyelitis optica spectrum diseases.