6181178396715

6181178396715
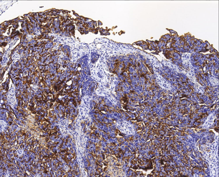
Clone number: Ov185:1
isotype: mouse monoclonal antibody
Cellular localization: cell membrane
Tissue: paraffin/frozen
Positive controls: ovarian endometrioid adenocarcinoma/ovarian plasma cystic carcinoma/mesothelioma/cervical squamous carcinoma
Antibody incubation time:
Antigen repair: heat repair (EDTA)
CA125 is a membrane-bound glycoprotein and serves as the primary biomarker for epithelial ovarian cancer, particularly serous adenocarcinoma. CA125 is primarily expressed in serous adenocarcinomas of the ovary and is virtually absent in mucinous adenocarcinomas of the ovary, aiding in their differentiation. CA125 may also be positive in cervical papillary serous carcinoma, endometrial adenocarcinoma, bladder clear cell carcinoma, epithelioid mesothelioma, and seminal vesicle carcinoma, but it is not expressed in normal ovaries or squamous epithelium.
CA125 antibody reagents can specifically bind to CA125 molecular antigens. Immunohistochemistry kits containing CA125 antibody reagents are suitable for the auxiliary diagnosis of epithelial ovarian cancer.