7601425550880

7601425550880
Clone number:
Isotype:
Cellular Localization:
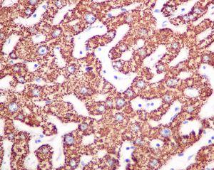
Adaptive tissue: paraffin section
Positive Control:
Antibody Incubation Time:
Antigen Repair:
Carbamoyl-phosphate synthetase I (CPS1) is a mitochondrial enzyme in the liver that catalyzes the synthesis of carbamoyl phosphate, playing a key role in the urea cycle. CPS1 is initially expressed in hepatocytes, and the antigen it recognizes is equivalent to the antigen recognized by the HepPar-1 antibody, with similar staining patterns. It exhibits high specificity and sensitivity toward hepatocytes and tumors derived from them, and is rarely positive in hepatocellular adenocarcinomas of the gastrointestinal tract and other types of non-hepatic tumors.
CPS1 antibody reagents can specifically bind to CPS1 molecular antigens. Immunohistochemistry kits containing CPS1 antibody reagents are suitable for the auxiliary diagnosis of hepatocellular carcinoma (HCC) and diseases related to urea cycle disorders.