475912286550

475912286550
Clone number:
Isotype:
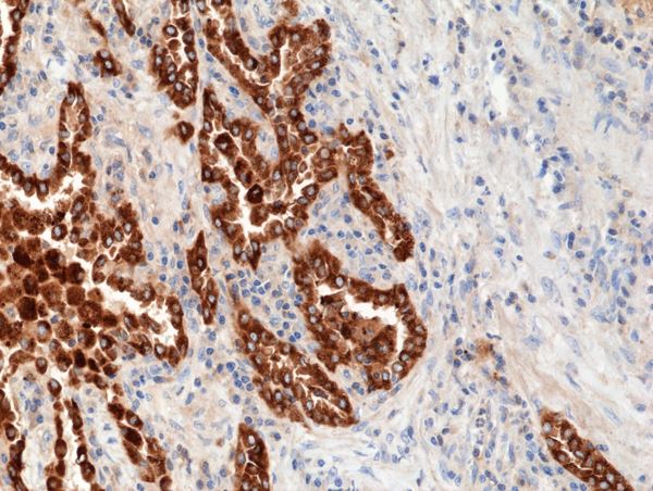
Cell localization: Cytoplasm
Suitable tissue: Paraffin/frozen
Positive control: Lung tissue
Antibody incubation time:
Antigen retrieval: Heat retrieval (citric acid)
SP-B is one of the antigenic determinants of pulmonary surfactant complex, expressed in type II alveolar epithelial cells of the lung. It is mainly used for the auxiliary diagnosis of lung cancer and differential diagnosis with lung metastatic cancer.
SP-B antibody reagents can specifically bind to SP-B molecular antigens. Immunohistochemistry kits containing SP-B antibody reagents are suitable for the auxiliary diagnosis of lung cancer and lung metastasis.