6551245396759

6551245396759
Clone number: EP261
Isotype: rabbit monoclonal antibody IgG
Cellular localization: nucleus/plasmid
Tissue: paraffin/frozen
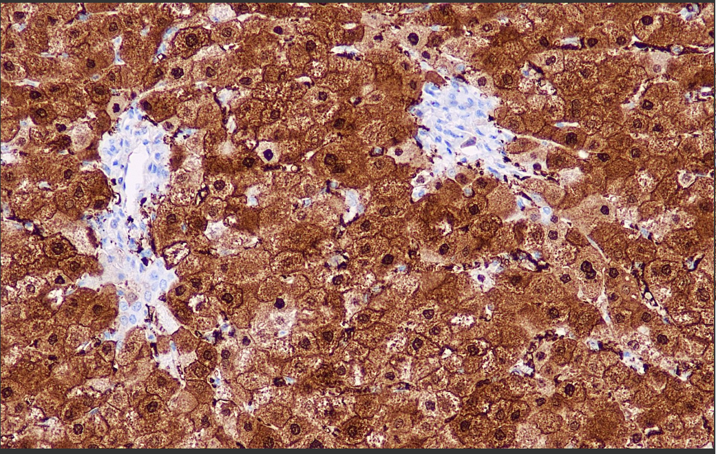
Positive control: Liver
Antibody incubation time: 30-60min
Antigen repair: Heat repair (EDTA)
Arginase-1, a key enzyme of the urea cycle, is expressed with high specificity in hepatocytes of normal liver tissues and is not expressed by bile duct epithelial cells, hepatic sinusoidal endothelial cells, blastic cells and vascular endothelial cells. Recent studies have shown that Arginase-1 is expressed in both normal and malignant liver tissues, especially in well-differentiated and moderately differentiated hepatocellular carcinomas (HCCs) with expression rates as high as 100% and 92%, and low in poorly differentiated hepatocellular carcinomas (LHCs). The combination of antibodies CD10, pCEA, AFP, HepPar-1, glypican-3, and A rginase-1 is of great significance in the study of benign liver lesions and well-differentiated hepatocellular carcinomas, poorly differentiated hepatocellular carcinomas, and metastatic tumors.
Arginase-1 Antibody Reagent binds specifically to Arginase-1 molecular antigen. Immunohistochemistry kits containing Arginase-1 Antibody Reagent are suitable for the precise diagnosis of benign liver lesions and well-differentiated hepatocellular carcinoma, poorly differentiated hepatocellular carcinoma and metastatic tumors.