6371178374737

6371178374737
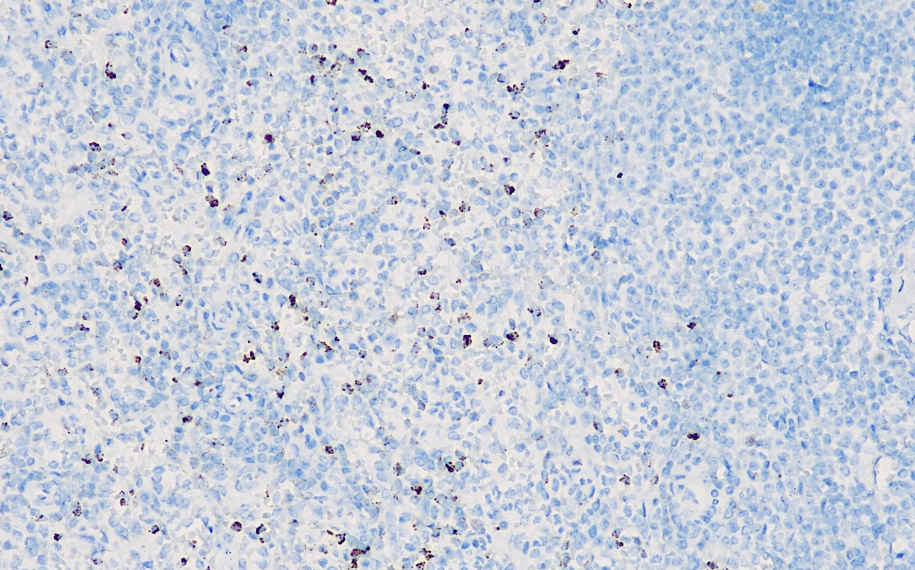
Clone Number: 5B10
Type: Mouse monoclonal antibody IgG1
Cellular Localization: Cytoplasm
Suitable Tissue: Paraffin/Frozen
Positive Control: Spleen
Antibody Incubation Time: 60 min
Antigen Retrieval: Heat retrieval (EDTA)
Perforin is a pore-forming protein in the cytoplasm of cytotoxic T lymphocytes that can destroy the corresponding target cell membrane and cause apoptosis. It is overexpressed in CD8-positive active T cells, stably overexpressed in K cells, and also expressed in certain CD4-positive T cells. It is mainly used in the study of host-transmitted diseases, chronic renal rejection, peripheral T-cell lymphoma, and NK cell lymphoma.
Perforin antibody reagents can specifically bind to perforin molecular antigens. Immunohistochemistry kits containing perforin antibody reagents are suitable for the auxiliary diagnosis of host-transmitted diseases, chronic renal rejection, peripheral T-cell lymphoma, and NK cell lymphoma.