
Clone number: 2E4
isotype: mouse monoclonal antibody
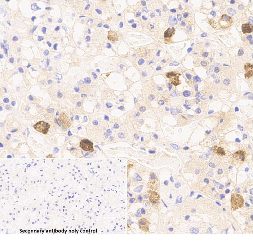
Cellular localization: cytoplasm/membrane
Tissue: paraffin section
Positive Control:
Antibody incubation time:
Antigen Repair:
The pituitary glycoprotein hormone family includes follicle-stimulating hormone, luteinizing hormone, chorionic gonadotropin, and thyroid-stimulating hormone. All these glycoproteins are composed of the same α subunit and hormone-specific β subunits. This gene encodes the β subunit of follicle-stimulating hormone, which, together with luteinizing hormone and follicle-stimulating hormone, induces the production of eggs and sperm. It is primarily used for the functional classification of pituitary adenomas and the study of primary and metastatic pituitary tumors.
β-FSH antibody reagents can specifically bind to β-FSH molecular antigens. Immunohistochemistry kits containing β-FSH antibody reagents are suitable for the auxiliary diagnosis of primary and metastatic pituitary tumors and the classification of pituitary adenomas.