5031054374583

5031054374583
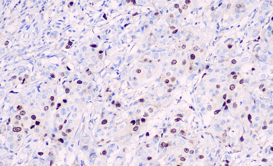
Clone number: EP119
isotype: rabbit monoclonal antibody
Cellular localization: nucleus/plasmid
Tissue: paraffin/frozen
Positive control: Breast cancer
Antibody incubation time: 30-60min
Antigen repair: Heat repair (EDTA)
Survivin is a member of the apoptosis-inhibiting gene family, found exclusively in mammals, and is primarily expressed during the G2/M phase of the cell cycle. It participates in the regulation of the cell cycle by inhibiting the activity of apoptosis-related proteases 3 and 7, thereby preventing cell apoptosis. It is overexpressed in many malignant tumor tissues but not expressed in normal adult tissues, and is primarily used in the study of various malignant tumors. In neuroblastoma, the expression of survivin indicates a poor prognosis and lower survival rates. In gastrointestinal tumors, it is associated with abnormal expression of Bcl-2 and p53. In esophageal cancer, survivin can serve as a reference for poor response to chemotherapy.
Survivin antibody reagents can specifically bind to Survivin molecular antigens. Immunohistochemistry kits containing Survivin antibody reagents are suitable for the prognostic assessment of tumors (such as breast cancer, colorectal cancer, and lung cancer).