
Clone number:
Isotype:
Cellular Localization:
Adaptive tissue: paraffin section
Positive Control:
Antibody Incubation Time:
Antigen Repair:
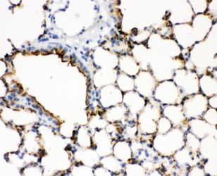
SP-A is a key component of pulmonary surfactant. In lung adenocarcinoma, particularly the bronchioloalveolar carcinoma subtype of lung adenocarcinoma, tumor cells often express SP-A. Immunohistochemical detection of SP-A aids in the diagnosis and differential diagnosis of lung adenocarcinoma, helping to distinguish it from other types of lung cancer such as squamous cell carcinoma and small cell carcinoma, as these cancers typically do not express SP-A. In some interstitial lung diseases, such as idiopathic pulmonary fibrosis and pulmonary alveolar proteinosis, the expression and distribution of SP-A are altered. For example, patients with pulmonary alveolar proteinosis have large amounts of SP-A-rich protein-like material deposited in the alveolar spaces. Immunohistochemical detection of SP-A can help clarify the nature of the lesion and differentiate it from interstitial lung diseases caused by other factors.
Surfactant Protein A antibody reagents can specifically bind to the Surfactant Protein A molecular antigen. Immunohistochemistry kits containing Surfactant Protein A antibody reagents are suitable for the auxiliary diagnosis of interstitial lung diseases (such as idiopathic pulmonary fibrosis/IPF) and pulmonary alveolar proteinosis (PAP).