5041045374583

5041045374583
Clone Number: EP86
Type: Rabbit Monoclonal Antibody
Cellular Localization: Cytoplasm/Membrane
Suitable Tissue: Paraffin/Frozen
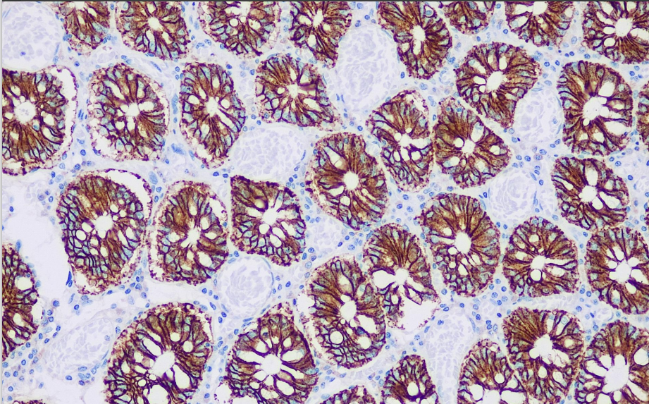
Positive Control: Stomach
Antibody Incubation Time: 30-60 min
Antigen Retrieval: Heat Retrieval (EDTA)
Ll-cadherin (Cadherin 17, CDH17), also known as liver-intestinal cadherin, belongs to the cadherin superfamily and mediates cell-cell adhesion and intestinal peptide transport. It has seven cadherin repeat domains in the extracellular region, while the intracellular domain contains only 20 amino acid residues and lacks interaction with other intracellular proteins. It is primarily expressed in the appendix, colon, and small intestinal epithelium, with minimal expression in other normal tissues. Studies have shown that Cadherin 17 can be used for the diagnosis and differential diagnosis of intestinal adenocarcinoma. It exhibits diffuse strong expression in colorectal adenocarcinoma, while gastric adenocarcinoma, pancreatic cancer, and cholangiocarcinoma show only focal or scattered expression. It has a high positive rate in posterior renal adenomas, but is negatively expressed in epithelial-predominant Wilms' tumor and solid papillary renal cell carcinoma. Primary bladder adenocarcinoma also has a high positive rate, while urothelial carcinoma with adenoid differentiation is negative, aiding in differential diagnosis. CDH17 can be used to diagnose early Barrett's esophagus, and overexpression of CDH17 in ovarian epithelial carcinoma indicates poor prognosis.
Cadherin 17 antibody reagents can specifically bind to Cadherin 17 molecular antigens. Immunohistochemistry kits containing Cadherin 17 antibody reagents are suitable for the auxiliary diagnosis of gastrointestinal adenocarcinoma (such as gastric cancer and colorectal cancer) and metastatic cancer.