143427268691661

143427268691661
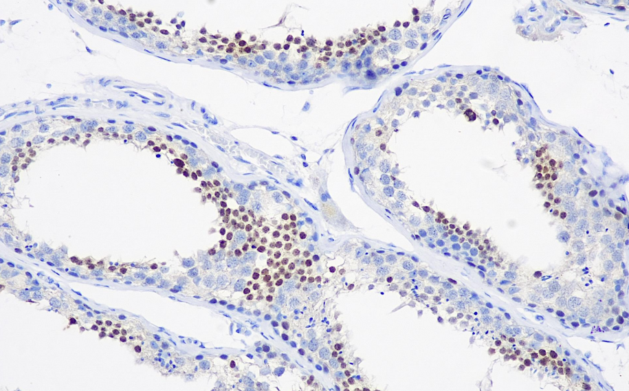
Clone number: B1
Isotype: rabbit monoclonal antibody
Cellular localization: nucleus
Tissue: paraffin/frozen
Positive control: testis
Antibody incubation time: 30-60min
Antigen repair: Heat repair (EDTA)
The test kit containing anti-NUT antibodies can specifically bind to the NUT molecular antigen. The immunohistochemistry test kit containing anti-NUT antibodies is suitable for the precise diagnosis of NUT midline carcinoma.