
Clone number: EP106
Isotype: rabbit monoclonal antibody
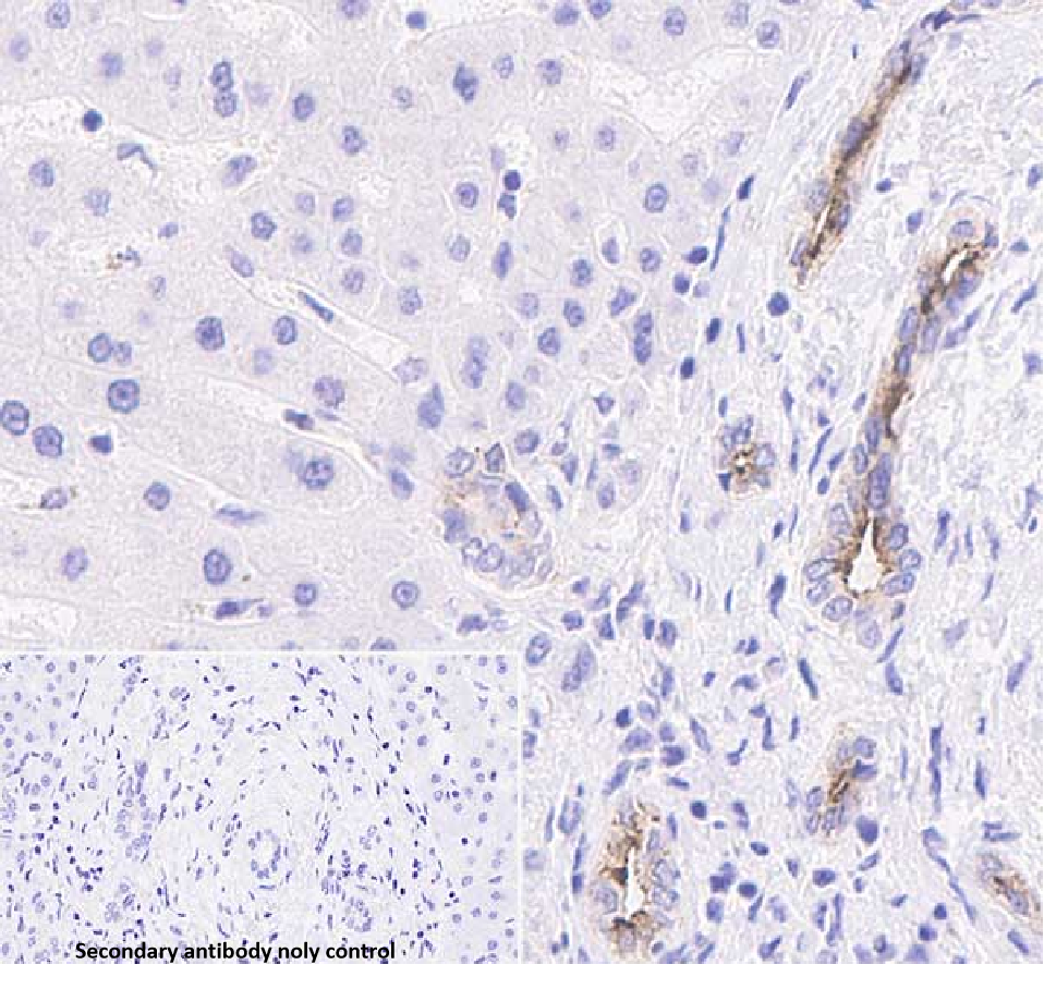
Cellular localization: cytoplasm/membrane
Tissue: paraffin section
Positive Control:
Antibody incubation time:
Antigen Repair:
Osteopontin (OPN), a gene highly conserved in mammals, is an avβ3 integrin adhesion molecule with a molecular weight of 32 kDa that mediates extracellular matrix interactions and binds to integrins and CD44. It is expressed in normal calcified bone, mammary gland, smooth muscle, kidney, and placenta.OPN is overexpressed in lung, breast, colorectal, gastric, ovarian, and melanoma.OPN proteins play an important function in a variety of physiological processes such as cellular immunomodulation, adhesion, and migration, and are associated with tumor invasion, progression, and metastasis. It is used in the study of many kinds of tumors.
Osteopontin antibody reagents can specifically bind to Osteopontin molecular antigens. Immunohistochemistry kits containing Osteopontin antibody reagents are suitable for assessing the metastatic potential of tumors (such as breast cancer, liver cancer, and bone metastasis).