285560187330

285560187330
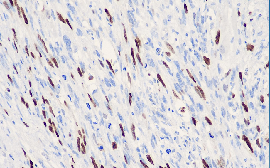
Clone number: EP162
isotype: rabbit monoclonal antibody
Cellular localization: nucleus
Tissue: paraffin/frozen
Positive control: rhabdomyosarcoma
Antibody incubation time: 30-60min
Antigen repair: Heat repair (EDTA)
Myogenin is a member of the myogenesis regulatory family, and the gene products it encodes include MyoD, Myf5, and MRF4. These gene products are all essential transcription factors for myocyte differentiation. Immunohistochemistry shows that Myogenin exhibits nuclear positivity in rhabdomyosarcoma and Wilms tumor, while it is negative in Ewing sarcoma and neuroblastoma. Additionally, the degree of nuclear expression is correlated with the differentiation level of rhabdomyosarcoma cells.
Myogenin antibody reagents can specifically bind to Myogenin molecular antigens. Immunohistochemistry kits containing Myogenin antibody reagents are suitable for the auxiliary diagnosis of rhabdomyosarcoma.