228437154264

228437154264
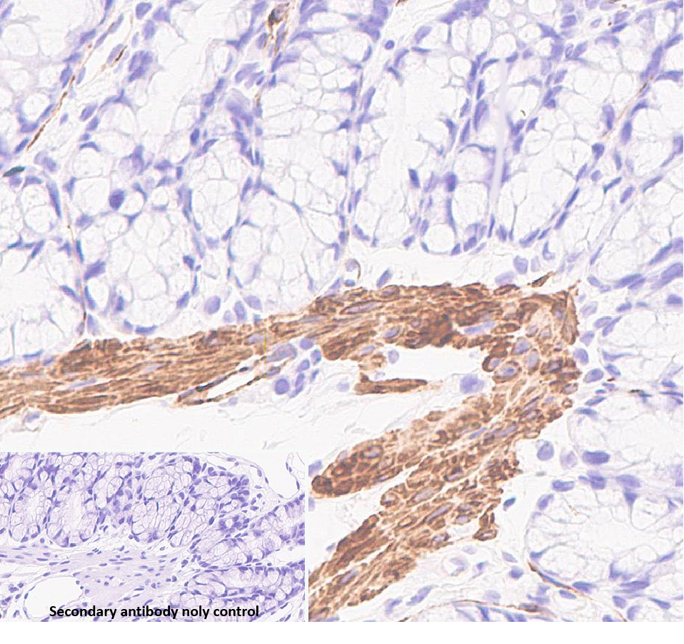
Clone number: EP166
isotype: rabbit monoclonal antibody
Cellular localization: cytoplasm
Tissue: paraffin/frozen
Positive control: Breast/Uterine Fibroid/Colon
Antibody incubation time:
Antigen repair: Heat repair (EDTA)
Smooth muscle myosin is mainly used to label vascular and visceral smooth muscle cells as well as myoepithelial cells, and is considered to be a more specific and reliable marker for smooth muscle, which is helpful for the diagnosis and classification of mesenchymal tumors, and can also be used for the detection of breast myoepithelial cells, which is helpful for the distinction between in situ and invasive carcinomas.
Myosin Heavy Chain antibody reagents can specifically bind to Myosin Heavy Chain molecular antigens. Immunohistochemistry kits containing Myosin Heavy Chain antibody reagents are suitable for the auxiliary diagnosis of mesenchymal tumors, carcinoma in situ, and invasive carcinoma.