380741286440

380741286440
Clone number: OTI5D2
isotype: mouse monoclonal antibody
Cellular localization: cytoplasm
Tissue: paraffin/frozen
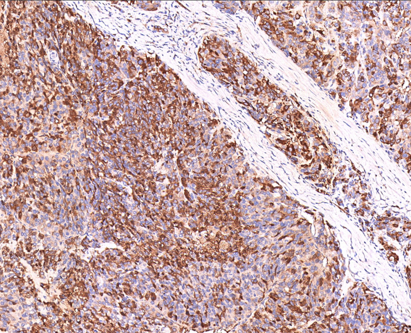
Positive control: Liver cancer
Antibody incubation time:
Antigen repair: heat repair (citric acid)
AFP is a glycoprotein synthesized by embryonic yolk sac cells, embryonic hepatocytes and fetal intestinal cells. It is mainly used to label hepatocellular carcinoma, endodermal sinusoidal tumors and germ cell tumors.
AFP antibody reagents can specifically bind to AFP molecular antigens. Immunohistochemistry kits containing AFP antibody reagents are suitable for the auxiliary diagnosis of hepatocellular carcinoma (HCC) and germ cell tumors (such as yolk sac tumors).