
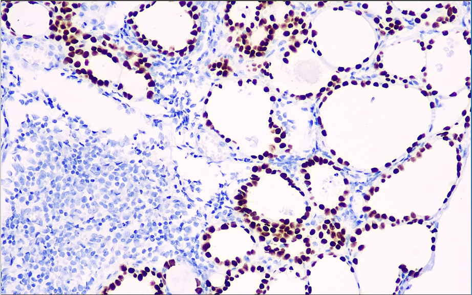
Clone number: SPT24
isotype: mouse monoclonal antibody
Cellular localization: nucleus
Tissue: paraffin/frozen
Positive control: Thyroid
Antibody incubation time: 30-60min
Antigen repair: Heat repair (EDTA)
Thyroid transcription factor-1 is a 4 kDa protein expressed mainly in epithelial cells of the thyroid and lung. The antibody is expressed positively in papillary thyroid carcinomas. In studies of lung tumors, immunohistochemical results were positive for TTF-1 in most small cell lung carcinomas, lung adenocarcinomas, most atypical lung neuroendocrine carcinomas, and a few large cell undifferentiated carcinomas of the lung, but negative in squamous carcinoma of the lung and most typical lung carcinoid tumors. This antibody is mainly used to classify lung and thyroid tumors and to distinguish lung adenocarcinomas from squamous carcinomas.
TTF-1 antibody reagents can specifically bind to TTF-1 molecular antigens. Immunohistochemistry kits containing TTF-1 antibody reagents are suitable for the auxiliary diagnosis of lung adenocarcinoma, squamous cell carcinoma, and other conditions.