128223277591485

128223277591485
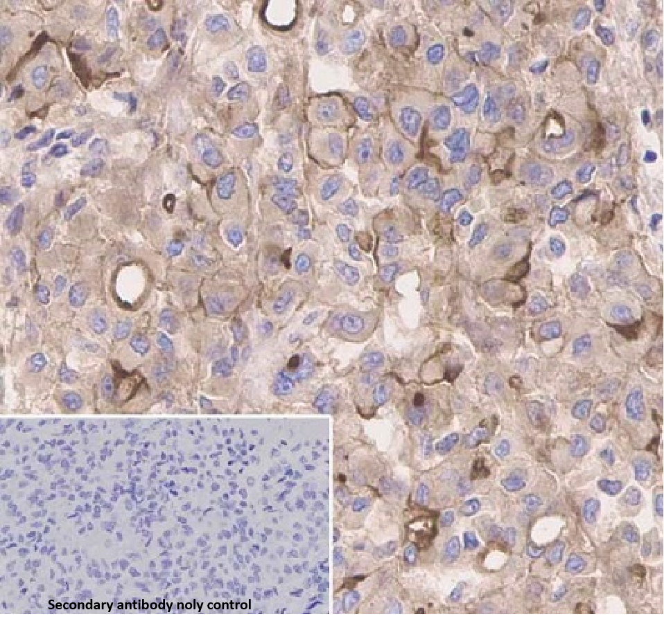
Clone number: EP140
Isotype: rabbit monoclonal antibody
Cellular localization: cell membrane
Tissue: paraffin/frozen
Positive control: mesothelioma/ovarian plasmacytoma
Antibody incubation time:
Antigen repair: heat repair (citric acid)
Mesothelin is a glycoprotein on the surface of mesothelial cells with a molecular weight of 40 kDa. It is expressed in normal tissues in mesothelial cells, kidneys, bronchial epithelium, tonsils and fallopian tubes; and in tumor tissues in mesotheliomas, epithelial carcinomas of the ovary, and certain squamous and adenocarcinomas. It is 100% sensitive for mesothelioma; if it is negative, the diagnosis of mesothelioma can be essentially excluded. Overexpressed in pancreatic ductal adenocarcinoma and negative in normal pancreas, thus also a marker for pancreatic ductal adenocarcinoma.
Mesothelin antibody reagents can specifically bind to the mesothelin molecular antigen. Immunohistochemistry kits containing mesothelin antibody reagents are suitable for the auxiliary diagnosis of mesothelioma, ovarian epithelial cancer, pancreatic ductal adenocarcinoma, and other diseases.