6651235396770

6651235396770
Clone number: polyclonal
isotype: rabbit polyclonal antibody
Cellular localization: cytoplasm/membrane
Tissue: paraffin/frozen
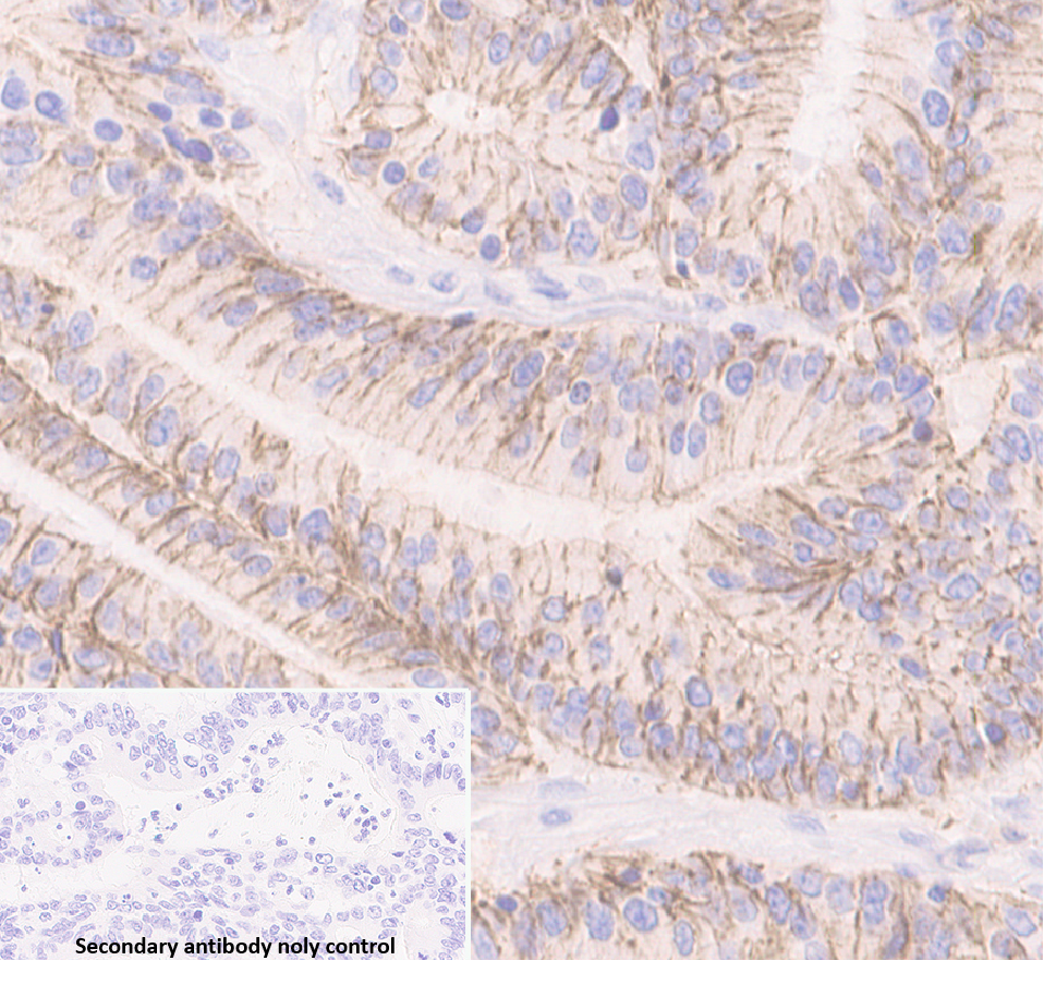
Positive control: tonsils/colon cancer/skin squamous cell carcinoma
Antibody incubation time:
Antigen repair: heat repair (citric acid)
Claudin-1 is a transmembrane protein associated with cellular tight junctions, also known as senescence-associated epithelial membrane protein 1 (SEMP1).Claudin-1 may be involved in the process of senescence and carcinogenesis of breast epithelial cells by inhibiting epithelial cell proliferation. This antigen is highly expressed in senescent human mammary epithelial cells (HMECS), low in normal HMECS, and severely deficient in breast cancer tissues and breast cancer cells.
Claudin-1 antibody reagents can specifically bind to Claudin-1 molecular antigens. Immunohistochemistry kits containing Claudin-1 antibody reagents are suitable for the auxiliary diagnosis of breast cancer.