6651235418770

6651235418770
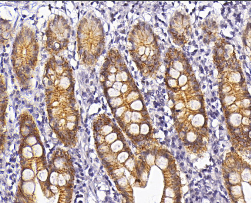
Clone number: polyclonal
isotype: rabbit polyclonal antibody
Cellular localization: cytoplasm/membrane
Tissue: paraffin/frozen
Positive control: Gastric adenocarcinoma/small intestine/rectum
Antibody incubation time:
Antigen repair: heat repair (citric acid)
Claudin-3, a protein encoded by the human CLDN3 gene, is a tight junction protein with a molecular weight of 22 kDa and a member of the Claudins family.Claudin-3 is expressed in the junction of ductal epithelium and vesicular epithelium, and up-regulated expression of the gene has been found in ovarian cancers, where its elevated expression leads to an increase in the invasive power and viability of tumor cells. Some studies suggest that Claudin-3 may be a therapeutic target gene for prostate cancer.
Claudin-3 antibody reagents can specifically bind to Claudin-3 molecular antigens. Immunohistochemistry kits containing Claudin-3 antibody reagents are suitable for the auxiliary diagnosis of epithelial tumors (such as ovarian cancer, breast cancer, and prostate cancer).