
Clone number: polyclonal
isotype: rabbit polyclonal antibody
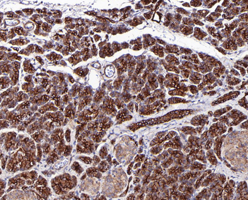
Cellular localization: cell membrane
Tissue: paraffin section
Positive Control:
Antibody incubation time:
Antigen Repair:
Claudin4 is a tight junction protein, one of the key proteins affecting the function of intercellular tight junctions. It is overexpressed in epithelial tumors such as pancreatic, breast, ovarian, prostate, bladder, and endometrial cancers, which on the one hand reduces the invasive and metastatic ability of tumor cells, and on the other hand, claudin-4 high-expressing tumors may be a potential target for therapeutic approaches of CPE.
Claudin4 antibody reagents can specifically bind to Claudin4 molecular antigens. Immunohistochemistry kits containing Claudin4 antibody reagents are suitable for the auxiliary diagnosis of epithelial tumors (such as pancreatic cancer, ovarian cancer, and gastric cancer) and mesothelioma.