551998330638

551998330638
Clone number: IM20
Isotype: rabbit monoclonal antibody
Cellular localization: cytoplasm/membrane
Tissue: paraffin/frozen
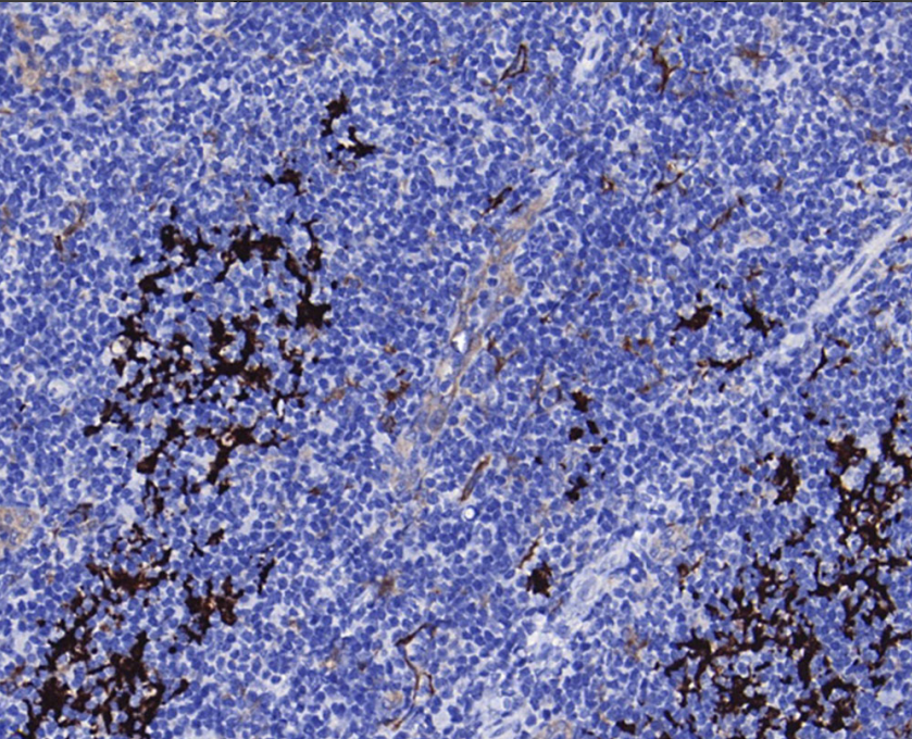
Positive control: Hodgkin's lymphoma
Antibody incubation time:
Antigen repair: heat repair (EDTA)
Fascin is a highly conserved actin bundle protein associated with microfilament formation in mitosis. In normal tissues, Fascin is predominantly expressed in a variety of dendritic cells and lymphatic sinus endothelial cells, and is also commonly expressed positively in R-S cells in Hodgkin's lymphoma. This antibody is primarily used in the diagnosis of Hodgkin's lymphoma.
Fascin antibody reagents can specifically bind to Fascin molecular antigens. Immunohistochemistry kits containing Fascin antibody reagents are suitable for the auxiliary diagnosis of Hodgkin's lymphoma.