142527559791650

142527559791650
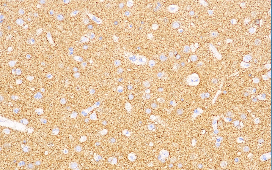
Clone number: RM423
isotype: rabbit monoclonal antibody
Cellular localization: cytoplasm
tissue: paraffin/frozen
Positive control: brain
Antibody incubation time: 30-60min
Antigen repair: Thermal repair (Tris-EDTA)
Neurotrophic Receptor Kinase (NTRK) includes three proteins: TRKA, TRKB, and TRKC. Different TRK proteins bind to different neurotrophic factors, regulating the growth, differentiation, and apoptosis of various types of neurons in the central and peripheral nervous systems. NTRK gene fusions result in the fusion of NTRK gene family members with another unrelated gene, encoding TRK fusion proteins in a structurally activated state. This triggers sustained signal transduction cascades, driving malignant proliferation and carcinogenesis. NTRK gene fusions occur at a high frequency in certain rare tumors, such as secretory breast cancer, salivary gland breast-like secretory carcinoma, and congenital infantile fibrosarcoma. They occur at an extremely low frequency in common tumors such as lung cancer, breast cancer, colorectal cancer, and melanoma.
TRK antibody reagents can specifically bind to TRK molecular antigens. Immunohistochemistry kits containing TRK antibody reagents are suitable for the auxiliary diagnosis of NTRK gene fusion tumors (such as infantile fibrosarcoma, secretory breast cancer, and thyroid cancer).