5701121374660

5701121374660
Clone number: polyclonal
isotype: rabbit polyclonal antibody
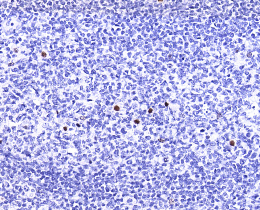
Cellular localization: nucleus
Tissue: paraffin section
Positive Control:
Antibody incubation time:
Antigen Repair:
PHH3 is a specific marker for marking cell mitosis, positive for nuclear division phases in early, mid, late and terminal mitosis, and can be used for nuclear division counting. It is used for tumor studies of central nervous system tumors, melanoma, soft tissue tumors, breast cancer and other tumors.
The PHH3 antibody reagent specifically binds to the PHH3 molecular antigen. The immunohistochemistry kit containing the PHH3 antibody reagent is suitable for the auxiliary diagnosis of central nervous system tumors, melanoma, soft tissue tumors, breast cancer, and other conditions.