418798253484

418798253484
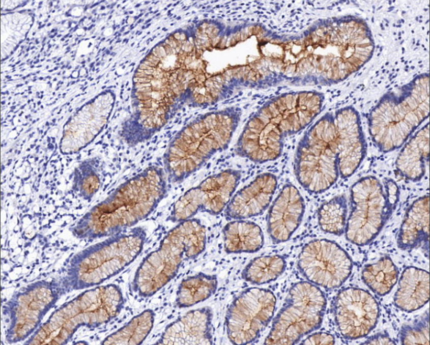
Clone number: 8G7
isotype: mouse monoclonal antibody
Cellular localization: cytoplasm
tissue: paraffin/frozen
Positive control: Stomach
Antibody Incubation Time:
Antigen repair:heat repair (citric acid)
The MUC mucin family is a class of high molecular mass glycosylated proteins synthesized and secreted by specialized cells in the epithelium of the gastrointestinal, respiratory, and reproductive tracts, which act as lubricants and protectors of normal mucous membranes.MUC-4, a transmodeling mucin, is found in the superficial layer of epithelial cells and is expressed mainly in normal tissues such as the gastrointestinal tract, the epithelium of normal bladders, the trachea, the lungs, and testes.
The MUC-4 antibody reagent specifically binds to the MUC-4 molecular antigen. The immunohistochemistry kit containing the MUC-4 antibody reagent is suitable for the auxiliary diagnosis of adenocarcinoma (such as pancreatic cancer, breast cancer, and ovarian cancer).