
Clone number:
isotype: rabbit monoclonal antibody
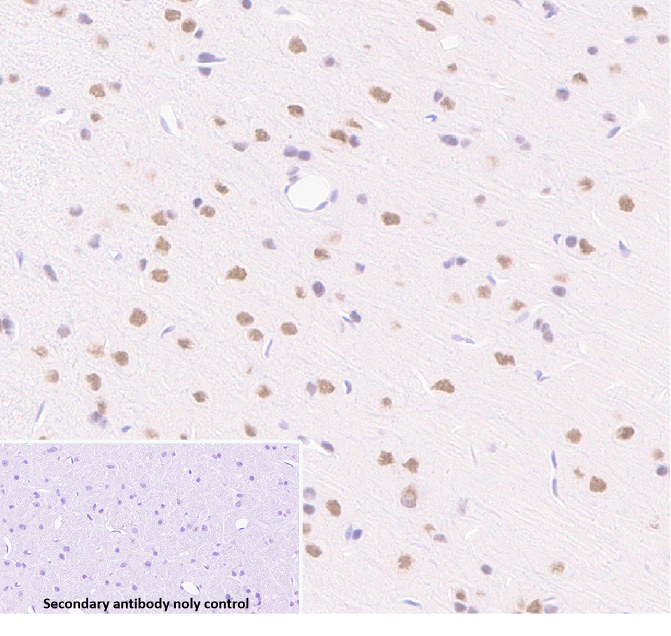
Cellular localization: nucleus
tissue: paraffin/frozen
Positive control: appendix
Antibody incubation time: 30-60min
Antigen repair: Heat repair (EDTA)
BRCA1associated protein 1 (BAP1) is a deubiquitinating enzyme encoded by the BAP1 gene, which is involved in the regulation of cell survival, apoptosis, DNA repair, protein ubiquitination and other functions. BAP1 is involved in the regulation of cell survival, apoptosis, DNA repair, protein ubiquitination and other functions. BAP1 is associated with the development, progression and prognosis of various malignant tumors, including malignant mesothelioma, cutaneous melanoma, lung cancer, colorectal cancer, clear cell carcinoma of the kidney, breast cancer, and squamous cancer of the head and neck.
BAP-1 Antibody Reagent binds specifically to BAP-1 molecular antigen. Immunohistochemistry kits containing BAP-1 Antibody Reagent are suitable for the precise diagnosis of a wide range of malignant tumors such as malignant mesothelioma, cutaneous melanoma, lung cancer, colorectal cancer, renal clear cell carcinoma, breast cancer, and squamous carcinoma of the head and neck.