104517577701210

104517577701210
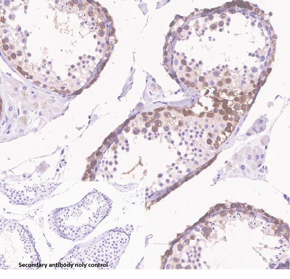
Clone number: E978
isotype: rabbit monoclonal antibody
Cellular localization: cytoplasm/membrane
Tissue: paraffin section
Positive Control:
Antibody incubation time:
Antigen Repair:
NY-ESO-1 is a unique immunogenic antigen that is restricted to the testes and ovaries in normal tissues. It is expressed in a wide range of tumors, especially in soft tissue tumors, and is a sensitive indicator of mucinous/round cell liposarcoma for a variety of tumors.
The NY-ESO-1 antibody reagent specifically binds to the NY-ESO-1 molecular antigen. The immunohistochemistry kit containing the NY-ESO-1 antibody reagent is suitable for the auxiliary diagnosis of myxoid/round cell liposarcoma.