5611064341649

5611064341649
Clone number:
Isotype:
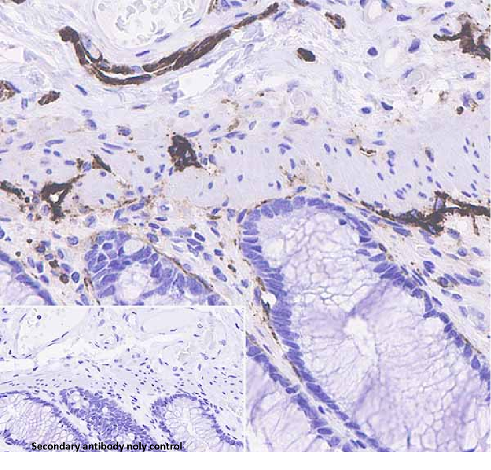
Cellular localization: cell membrane
Adaptive tissue: paraffin/frozen
Positive Control: Embryonic testis/lymphatics
Antibody Incubation Time:
Antigen repair: heat repair (EDTA)
Podoplanin recognizes a molecular weight 40 kDaO-linked salivary ribonucleoprotein present in embryonic testis and germ cell tumors that is expressed in lymphatic endothelial cells but not in vascular endothelial cells, and is commonly used to label lymphatic endothelium in tissues, which aids in the diagnosis of lymphatic endothelium-derived tumors and in determining the occurrence of lymphatic infiltration and metastasis in other tumor tissues.
Podoplanin antibody reagents can specifically bind to Podoplanin molecular antigens. Immunohistochemistry kits containing Podoplanin antibody reagents are suitable for the auxiliary diagnosis of lymphatic endothelial cell-derived tumors.