91215206381056

91215206381056
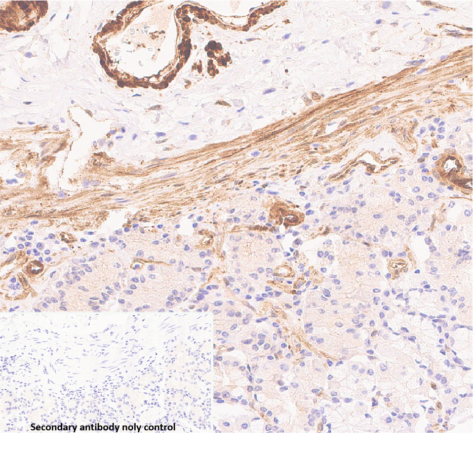
Clone number: G3.1
Isotype: mouse monoclonal antibody
Cellular localization: nucleus/plasmid
Tissue: paraffin section
Positive Control:
Antibody incubation time:
Antigen Repair:
The expression level of HSP27 correlates with the grading and prognosis of certain tumors. In general, HSP27 expression may be higher in high-grade tumors and is associated with tumor aggressiveness and metastatic potential. It has been found that patients with tumors with high HSP27 expression tend to have a poorer prognosis and may have shorter disease-free and overall survival. Therefore, immunohistochemical detection of HSP27 antibody reagents may provide a reference basis for tumor grading and prognosis determination.
The HSP27 antibody reagent specifically binds to the HSP27 molecular antigen. The immunohistochemistry kit containing the HSP27 antibody reagent is suitable for assessing stress responses and drug resistance in tumors such as breast cancer, prostate cancer, and neuroblastoma.