8551615550990

8551615550990
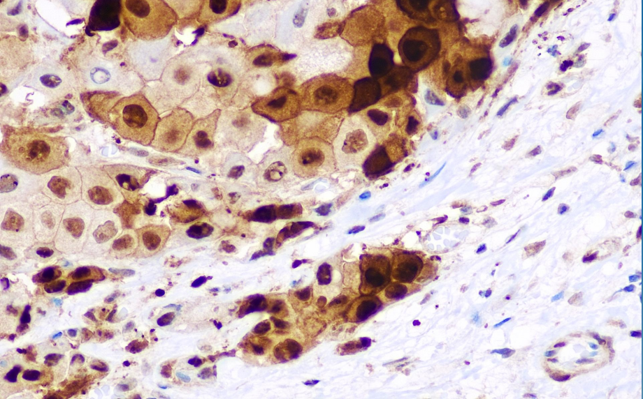
Clone number: EP377
isotype: mouse monoclonal antibody
Cellular localization: cytoplasm/membrane
Tissue: paraffin/frozen
Positive control: Liver cancer
Antibody incubation time: 30-60min
Antigen repair: Thermal repair (EDTA)
Heat shock proteins are a group of evolutionarily highly conserved proteins that are induced to be produced by HSP in organismal cells in response to heat shock or other external stimuli, and are highly expressed in many tumors. It has been found that the expression of HSP70 may be related to tumorigenesis, development and prognosis. It is often used together with GPC3 and GS in the study of hepatocellular carcinoma.
HSP70 antibody reagents can specifically bind to HSP70 molecular antigens. Immunohistochemistry kits containing HSP70 antibody reagents are suitable for the auxiliary diagnosis of hepatocellular carcinoma.