123521378691430

123521378691430
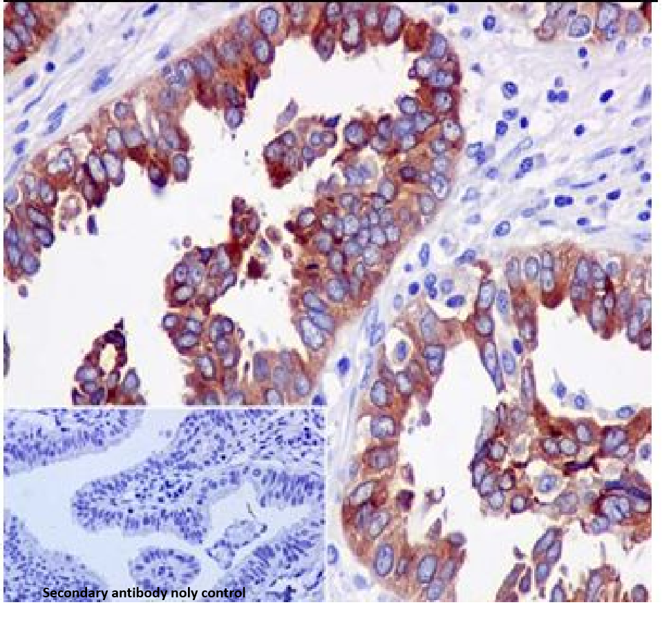
Clone number: UMAB88
isotype: mouse monoclonal antibody
Cellular localization: cytoplasm/membrane
Tissue: paraffin section
Positive Control:
Antibody incubation time:
Antigen Repair:
Human epididymal protein 4 (HE4) is an acidic, small, single-signal peptide and cysteine-rich polypeptide characterized as a secreted protein that belongs to the lactic acid protein (WAP) structural domain family of proteins.HE4 is highly expressed in the trachea and salivary glands of normal humans, and is expressed in the epithelium of the female reproductive system, including the fallopian tube epithelium, endometrial glands, endocervical glands, and vestibular gonads, as well as in the epithelia of the epididymis and the vasculature of the male reproductive system. HE4 is expressed in the epithelium of the vas deferens.HE4 is highly expressed in ovarian endometrioid carcinoma and hyperdifferentiated plasma ovarian carcinoma, whereas it is expressed at lower levels in clear cell carcinoma and mucinous ovarian carcinoma.HE4 is overexpressed in pancreatic adenocarcinoma.
HE4 antibody reagents can specifically bind to HE4 molecular antigens. Immunohistochemistry kits containing HE4 antibody reagents are suitable for the auxiliary diagnosis of ovarian serous carcinoma, endometrioid carcinoma, and pancreatic cancer.