503865319583

503865319583
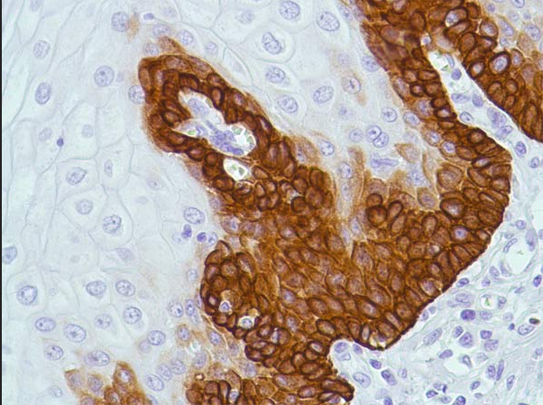
Clone number: SP47
Isotype: Rabbit Monoclonal Antibodies
Cellular localization: cytoplasm/membrane
Tissue: paraffin section
Positive control: Cervical squamous carcinoma
Antibody incubation time:
Antigen repair: heat repair (citric acid)
Bax is a member of the Bcl-2 family, and unlike Bcl-2, Bax is a promoter of apoptosis, and its apoptosis-promoting effect may be achieved by inducing the release of caspases, which activate cytochrome c from the mitochondria, and recent studies have suggested that Bax may have a tumor-suppressor effect.
Bax antibody reagents bind specifically to Bax molecular antigens. Immunohistochemistry kits containing Bax antibody reagents are suitable for adjunctive diagnosis of tumors and apoptosis.