313580198363

313580198363
Clone number:
Homozygous:
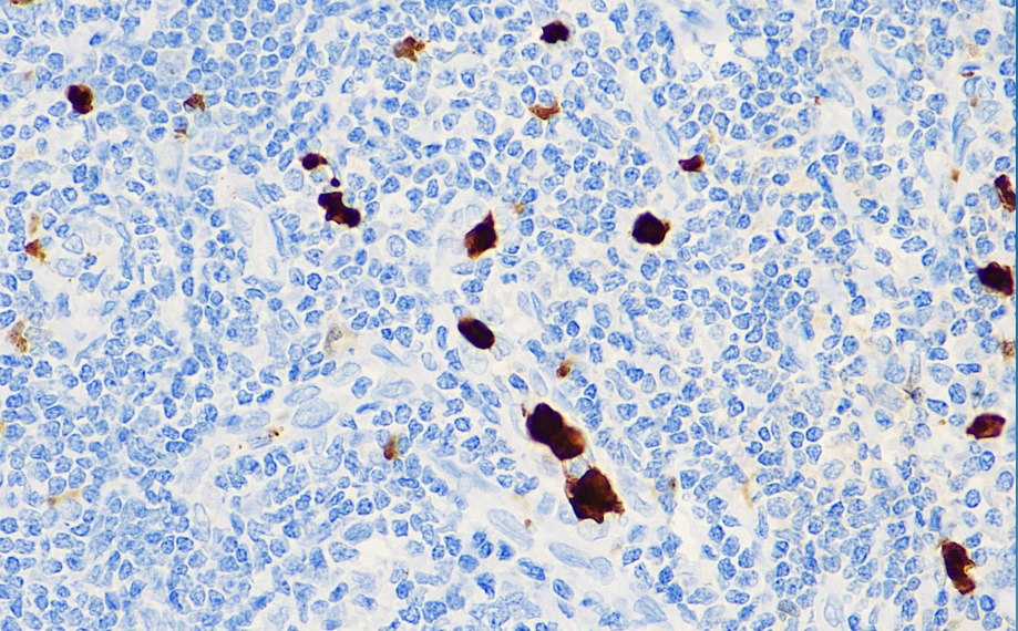
Cellular localization: cytoplasmic
Adaptive tissue: paraffin/frozen
Positive control: tonsils
Antibody incubation time: 30-60min
Antigen repair: Heat repair (EDTA)
In some myeloproliferative neoplasms such as chronic myeloid leukemia and primary myelofibrosis, myeloid cells show abnormal proliferation and differentiation. Immunohistochemical detection of relevant antigens can assist in determining the morphology, distribution and antigen expression of myeloid cells in the bone marrow, which is of great value in the diagnosis and evaluation of diseases.
MHA antibody reagents can specifically bind to MHA molecular antigens. Immunohistochemistry kits containing MHA antibody reagents are suitable for the auxiliary diagnosis of myeloid leukemia (such as AML) and histiocytosis (such as Langerhans cell histiocytosis/LCH).