5701111363660

5701111363660
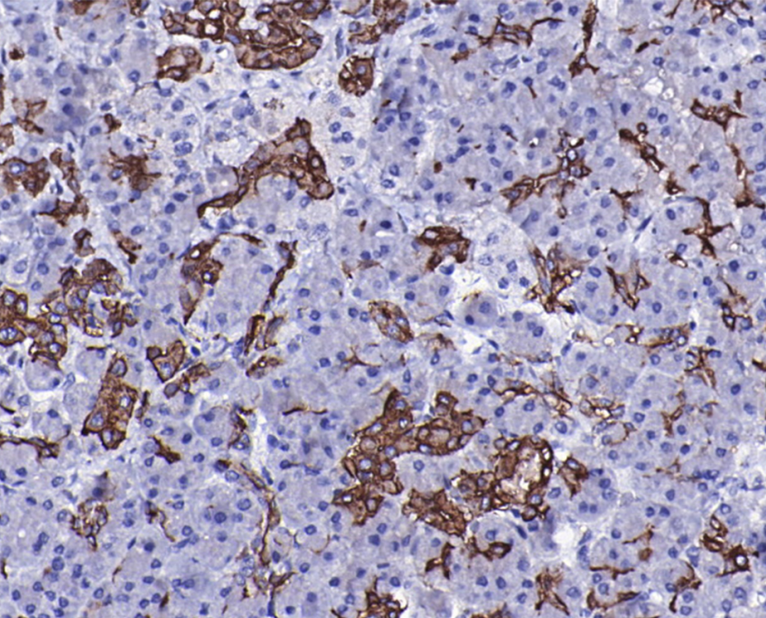
Clone number: NS19-9
isotype: mouse monoclonal antibody
Cellular localization: cytoplasm
reactivity: paraffin/frozen
Positive control: Pancreatic/colon cancer
Antibody incubation time:
Antigen repair: heat repair (EDTA)
CA19-9 is a cell surface glycoprotein with a molecular weight of 210 kDa, also known as digestive tract cancer antigen. It is widely distributed in the ductal epithelium of mammary glands, kidneys, salivary glands, sweat glands, hepatic bile ducts and ductal epithelium, and prostate ductal epithelium. It is mainly used in the diagnosis and research of digestive tract tumors, and is an important reference index for the diagnosis of pancreatic cancer.
The CA19-9 antibody reagent specifically binds to the CA19-9 molecular antigen. The immunohistochemistry kit containing the CA19-9 antibody reagent is suitable for the auxiliary diagnosis of pancreatic cancer.