5891111352682

5891111352682
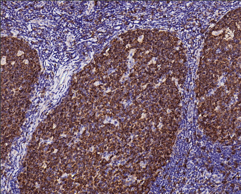
Clone number: SP49
isotype: rabbit monoclonal antibody
Cellular localization: cytoplasm
tissue: paraffin/frozen
Positive control: Hodgkin's lymphoma
Antibody incubation time:
Antigen repair: Heat repair (EDTA)
Stathmin, also known as oncoprotein 18 (Op18), is a widely expressed 19KD intracellular phosphoprotein responsible for the integration of different cellular regulatory signals. It is associated with the control of G1-S and G2-M checkpoints in the cell cycle and plays an important role in cell proliferation, differentiation, development and organogenesis.Overexpression of Stathmin is associated with tumor progression in endometrial, ovarian and oral squamous carcinomas. Currently, CIN is mainly detected by p16 immunohistochemical staining. However, because the p16 positivity rate for CIN1 is approximately 70%, women with a clinical diagnosis of CIN may be overtreated.
Stathmin antibody reagents can specifically bind to Stathmin molecular antigens. Immunohistochemistry kits containing Stathmin antibody reagents are suitable for the auxiliary diagnosis of endometrial cancer, ovarian cancer, and oral squamous cell carcinoma.