128223277591485

128223277591485
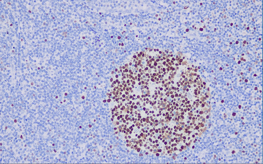
Clone number: UMAB238
isotype: mouse monoclonal antibody
Cellular localization: nucleus
reactivity: paraffin/frozen
Positive control: tonsils
Antibody incubation time: 30-60min
Antigen repair: Heat repair (EDTA)
Microchromosome maintenance protein MCM is a major regulator of DNA replication in eukaryotic cells, and plays an important role in the initiation and prolongation of DNA replication. MCM2, a family member, is not expressed in quiescent cells, while it is overexpressed in proliferating and transformed cells, and is able to accurately reflect the proliferative activity of cells. In cervical cancer, the expression of MCM2 can reflect the degree of proliferation of cervical squamous epithelial cells, which is significantly and positively correlated with HPV16 infection.MCM2 is superior to Ki-67 as a reference for cell proliferation in studies of pre-cancerous lesions of colon, lung and other epithelial tissues.MCM2 is also helpful in the study of malignant mesothelioma and reactive mesothelial proliferation.MCM2 is also useful in the study of malignant mesothelioma and reactive mesothelial hyperplasia.
MCM2 antibody reagents can specifically bind to MCM2 molecular antigens. Immunohistochemistry kits containing MCM2 antibody reagents are suitable for the auxiliary diagnosis of cervical cancer, colon cancer, lung cancer, malignant mesothelioma, and reactive mesothelial hyperplasia.