342655231396

342655231396
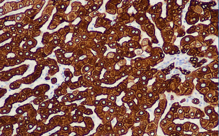
Clone number: 35βH11
isotype: mouse monoclonal antibody IgM/K
Cellular localization: cytoplasm
Tissue: paraffin/frozen
Positive control: Liver
Antibody incubation time: 30-60min
Antigen repair: Thermal repair (EDTA)
CK35βH11 stains many ductal and glandular epithelia, but does not stain squamous epithelium, and does not react with skeletal muscle or nerve cells. This antibody is primarily used in the study of ductal carcinoma and adenocarcinoma.
The low molecular weight cytokeratin antibody reagent specifically binds to the low molecular weight cytokeratin molecular antigen. The immunohistochemistry kit containing the low molecular weight cytokeratin antibody reagent is suitable for the auxiliary diagnosis of ductal carcinoma and adenocarcinoma.