6461140418748

6461140418748
Clone number: Cu-18
Isotype: mouse monoclonal antibody IgG1
Cellular localization: cytoplasm
Tissue: paraffin/frozen
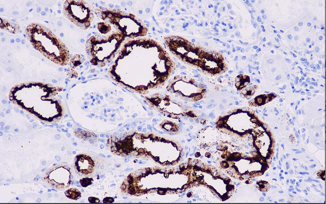
Positive control: kidney
Antibody incubation time: 30-60min
Antigen repair: Thermal repair (EDTA)
BCA-225 is a glycoprotein secreted by breast cells and is expressed in adenocarcinomas of the following organs: breast (98%), kidney (94%), ovary (80%), lung (74%), moderately in adenocarcinomas of the pancreas, bile ducts, thyroid, endometrium, endocervix, and prostate (36%-68%), and in adenocarcinomas of the gastrointestinal tract (10%-16%). It is not expressed in hepatocellular carcinoma. The antibody BCA-225 is often used in combination with CEA, CA19-9 and CA125 as a reference for the study of metastatic adenocarcinoma.
BCA-225 Antibody Reagent binds specifically to BCA-225 molecular antigen. Immunohistochemistry kits containing BCA-225 Antibody Reagent are suitable for accurate diagnosis of metastatic adenocarcinoma.