446826275517

446826275517
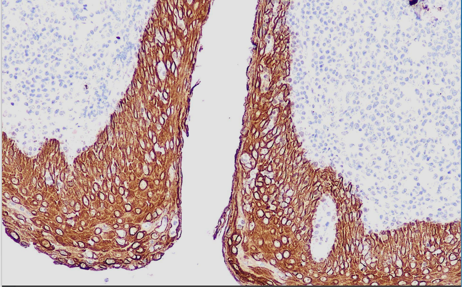
Clone number: AE3
Isotype: mouse monoclonal antibody IgG1
Cellular localization: cytoplasm
Tissue: paraffin/frozen
Positive control: tonsils
Antibody incubation time: 30-60min
Antigen repair: Heat repair (EDTA)
Cytokeratin HMW AE3 is a high molecular weight keratin antibody that recognizes all basic keratins and marks most epithelial and epithelial-derived tumors.
The high molecular weight cytokeratin antibody reagent specifically binds to the high molecular weight cytokeratin molecular antigen. The immunohistochemistry kit containing the high molecular weight cytokeratin antibody reagent is suitable for the auxiliary diagnosis of certain epithelial tumors.