494950297572

494950297572
Clone number:
Isotype:
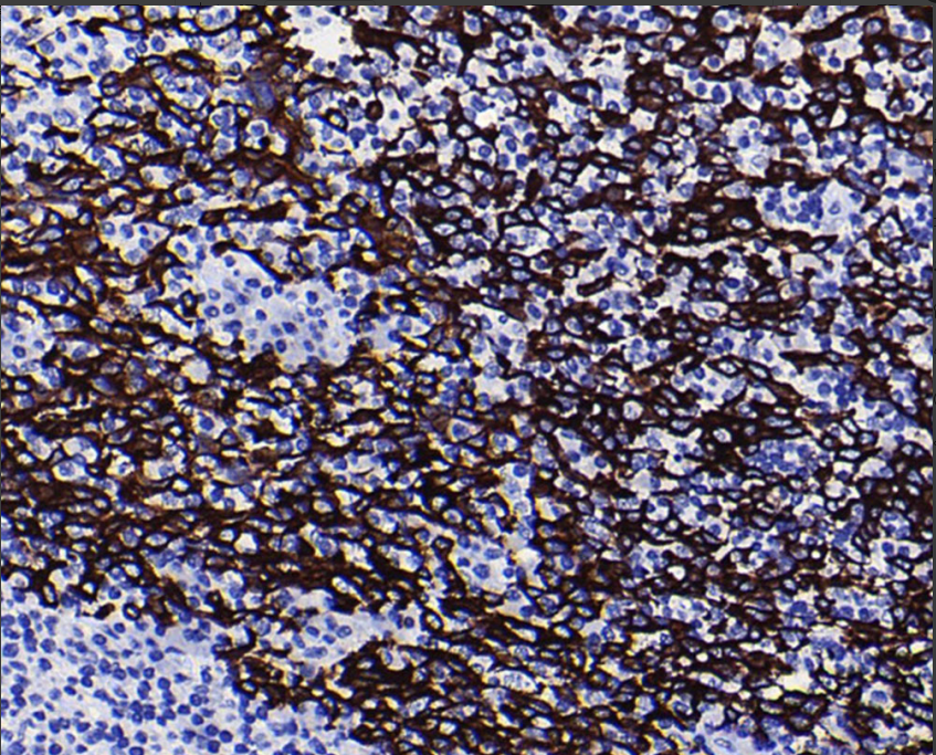
Cellular localization: cell membrane
Tissue: paraffin/frozen
Positive control: Lung cancer/esophageal squamous carcinoma
Antibody Incubation Time:
Antigen repair: heat repair (citric acid)
Broad-spectrum cytokeratin CK (Pan) mainly labels keratinized epithelium, complex squamous epithelium, complex epithelium, hyperplastic keratinized cells, and unilamellar epithelium, and is used for squamous carcinoma (including spindle variant), various adenocarcinomas (including adrenal carcinoma and hepatocellular carcinoma), migratory cell carcinoma, small cell carcinoma, malignant mesothelioma, germ cell tumors (except seminoma), and some synovial sarcomas and smooth muscle sarcomas can be positively labeled. It can be positively labeled. In the differential diagnosis, it can be combined with EMA and CEA for the differential diagnosis of epithelial and non-epithelial tumors, and can also be used in the study of various cancers.
The cytokeratin (broad spectrum) antibody reagent specifically binds to the cytokeratin (broad spectrum) molecular antigen. The immunohistochemistry kit containing the cytokeratin (broad spectrum) antibody reagent is suitable for the auxiliary diagnosis of epithelial tumors and non-epithelial tumors.