399741242462

399741242462
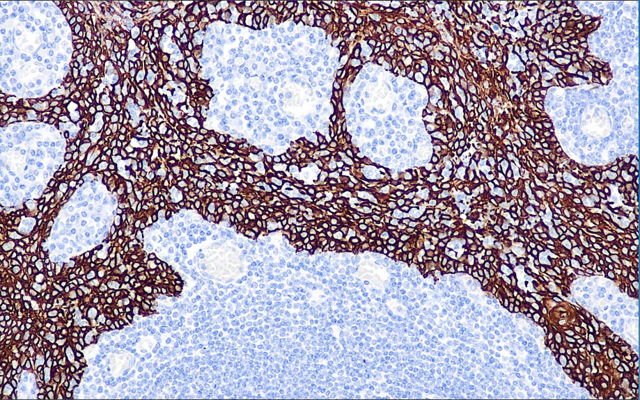
Clone number: RM341
isotype: rabbit monoclonal antibody
Cellular localization: cytoplasm
reactivity: paraffin/frozen
Positive control: tonsils
Antibody incubation time: 30-60min
Antigen repair: Heat repair (EDTA)
In normal tissues, it can label basal cells of squamous and ductal epithelium as well as part of squamous epithelial germinal layer cells, myoepithelial cells and mesothelial cells, and is not expressed by adenoepithelial cells. Therefore, it can be used for the differential diagnosis of squamous carcinoma and adenocarcinoma, and mesothelioma and adenocarcinoma. It can also be used in the differential diagnosis of benign and malignant hyperplasia of ductal epithelium.
CK5 or 6 antibody reagents can specifically bind to CK5 or 6 molecular antigens. Immunohistochemistry kits containing CK5 or 6 antibody reagents are suitable for the auxiliary diagnosis of squamous cell carcinoma, adenocarcinoma, and mesothelioma, among others.