304580187352

304580187352
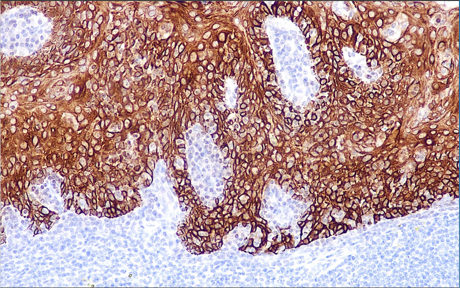
Clone number: GM028
Isotype: mouse monoclonal antibody IgG1
Cellular localization: cytoplasm
Tissue: paraffin/frozen
Positive control: tonsils
Antibody incubation time: 30-60min
Antigen repair: Heat repair (EDTA)
CK5 is expressed in basal cells of squamous epithelium and ductal epithelium, as well as in some squamous epithelial germinal layer cells, myoepithelial cells, and mesothelial cells in normal tissues, while the vast majority of glandular epithelial cells exhibit minimal expression. Therefore, it can be used for research on squamous cell carcinoma, adenocarcinoma, mesothelioma, and adenocarcinoma. It can also be used for research on benign and malignant tumors of epithelial origin in the breast, salivary glands, and prostate.
CK5 antibody reagents can specifically bind to CK5 molecular antigens. Immunohistochemistry kits containing CK5 antibody reagents are suitable for the auxiliary diagnosis of squamous cell carcinoma, adenocarcinoma, mesothelioma, and other diseases.