399741242462

399741242462
Clone number:
Isotype:
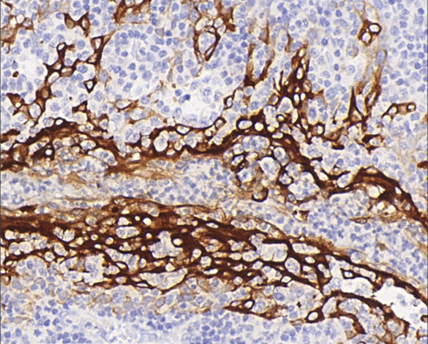
Cellular localization: cytoplasm/membrane
Tissue: paraffin/frozen
Positive control: tonsils/lung squamous carcinoma/cervical squamous cell carcinoma
Antibody Incubation Time:
Antigen repair: heat repair (EDTA)
Keratins 6 and 16 (also known as blood proline hyperlipidemia-associated proteins) are expressed in rapidly metabolizing keratinized cells in the upper basal region. Keratin 6 is present in the upper basal cells of hair follicles and various in vivo complex epithelia. In normal and hemoprolinosis conditions, epidermal damage leads to activation of keratinized cells expressing keratins 6 and 16. Keratin 6 is extremely strongly expressed in squamous epithelial cell carcinomas of the head and neck and correlates significantly with cancer differentiation.
CK6 antibody reagents specifically bind to CK6 molecular antigens. Immunohistochemistry kits containing CK6 antibody reagents are suitable for the auxiliary diagnosis of squamous epithelial hyperplastic lesions and tumors (such as skin squamous cell carcinoma, head and neck squamous cell carcinoma, and esophageal squamous cell carcinoma).